吃什么药会导致牙齿腐蚀_吃什么药会导致牙齿腐蚀
*** 次数:1999998 已用完,请联系开发者***
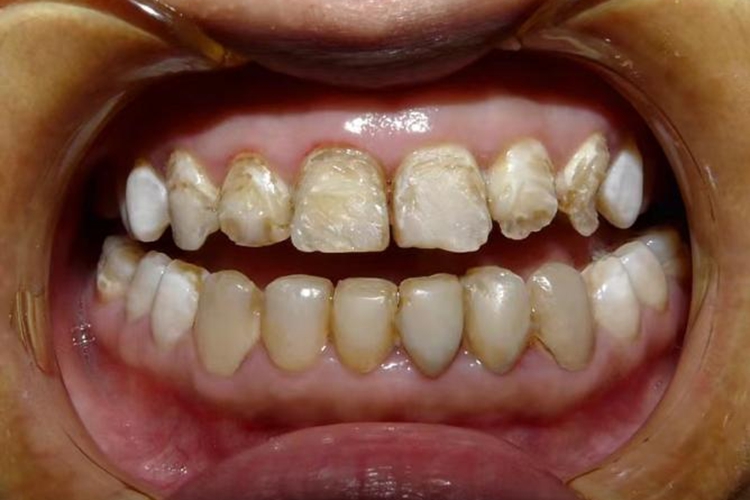
水果虽好,这4种吃多悄悄“腐蚀”你的牙齿有些水果如果吃多了,会对牙齿造成伤害。今天,就来给大家介绍 4 种吃多了会伤害牙齿的水果。 柑橘类水果 柑橘类水果,如橙子、柠檬、柚子等,富含维生素 C,深受大家喜爱。但这类水果酸性较强,过量食用会使口腔内的酸性环境增加。牙齿表面的牙釉质在酸性环境下容易被腐蚀,时间长...
ˋ^ˊ〉-# 
过量吃醋危害多!腐蚀牙齿、加重胃溃疡,还会损伤食道食用会带来不少危害。 首先,经常摄入醋会腐蚀牙齿,给牙釉质、牙本质造成不可逆损伤。 其次,摄入过量的醋会刺激胃粘膜,对于本身患有胃溃疡、胃酸分泌过多的人而言,会加重不适症状。 最后,醋的酸性会刺激食道,若食道本身有伤口,容易加重疼痛、导致溃疡。 #过量吃醋 #牙齿腐蚀 #...
(`▽′) 
⊙0⊙ 有龋齿还能做牙齿矫正吗?很多人想做牙齿矫正时,可能会发现自己有龋齿(俗称蛀牙),于是纠结:有蛀牙还能矫正吗?会不会加重牙齿问题?其实答案不是能或不能这么简单,得看龋齿的严重程度和处理方式。 先搞懂:龋齿和牙齿矫正有啥关系? 龋齿是细菌分解食物残渣产生酸性物质,慢慢腐蚀牙齿硬组织(牙釉质、牙本...
ゃōゃ 
每天多做 1 件事,告别牙菌斑却会持续损害牙齿与牙龈 一、牙菌斑的形成与危害 牙菌斑由细菌、唾液蛋白和食物残渣混合而成,24 小时左右就能初步形成 。 如果刷牙不彻底,细菌会在口腔繁殖,牙邻面、牙龈沟等清洁死角, 因为温度、湿度适宜,细菌会分解残渣产酸,进而腐蚀牙齿、刺激牙龈,引发龋齿、牙周炎等疾病...

蛀牙和吃糖有关系吗吃糖和牙齿蛀牙有关系吗? 提到蛀牙,很多人第一反应是糖吃多了。但吃糖和蛀牙之间的关系,真的是吃了就会蛀牙这么简单吗?其实,蛀牙的形成是一场多因素合作的结果,而糖更像是其中的关键推手。 蛀牙到底是怎么来的? 蛀牙(医学上叫龋齿)的形成,本质是一场牙齿被腐蚀的过程,背后有...

⊙▂⊙ 窝沟龋:被忽视的儿童蛀牙高发区一、窝沟龋是什么? 窝沟龋是发生在牙齿窝沟部位的龋齿(蛀牙)。我们的后牙(磨牙和前磨牙)咬合面并非光滑平整,而是存在天然的凹陷和裂隙,... 细菌分解食物中的糖分产生酸,逐渐腐蚀牙齿硬组织,形成窝沟龋。 二、为什么窝沟容易 “中招”? 三大因素解析 1.窝沟结构特殊性: 窝沟狭窄、...
蛀牙一定要补吗?一、先搞懂:蛀牙到底是什么? 蛀牙学名龋齿,本质是口腔里的细菌分解食物残渣产生酸性物质,长期腐蚀牙齿硬组织形成的空洞。就像苹果烂了... 早期蛀牙只腐蚀表层(牙釉质),确实没感觉,但放任不管会引发一系列问题: 龋洞越来越大:从小黑点变成大黑洞,腐蚀到牙本质后,吃冷热酸甜食物会...

˙▽˙ 警惕!这5种常见饮品或伤牙齿,你中招了吗?能够侵蚀牙齿表面那层坚固的牙釉质,进而引发牙齿腐蚀、龋齿等一系列口腔问题。今天,就让我们一同揭开那些容易腐蚀牙齿的饮料的神秘面... 食用后立即漱口,这样可以减少酸性物质对牙齿的损害。 7. 戒烟限酒 吸烟和过量饮酒对我们的牙齿健康都有很大的危害。吸烟会导致牙齿变黄...
ˇ^ˇ 
每顿饭后漱口,半年后牙齿可能出现这几种改变!牙菌斑是附着在牙齿表面的一层细菌薄膜,它们利用食物残渣中的糖分产酸,这些酸性物质会逐渐侵蚀牙釉质,导致蛀牙。更糟糕的是,牙菌斑还会引发牙龈炎,让你的牙龈红肿、出血,长期不处理甚至可能导致牙周病,最终导致牙齿松动和脱落。 而饭后漱口,正是对抗牙菌斑的第一道防线。清...
∩0∩ 每天一杯奶茶,女生烂12颗牙!喝奶茶风险大揭秘会加速牙齿表面珐琅质的侵蚀,导致牙齿变脆弱,容易出现蛀牙。此外,许多人在喝完奶茶后不及时刷牙,糖分长时间停留在口腔中,为细菌繁殖提供了温床,增加了龋齿的可能性。 2.肥胖与代谢问题:奶茶中的高糖、高脂肪会导致热量摄入超标,容易引起肥胖。长期饮用奶茶还可能干扰身体的...

飞飞加速器部分文章、数据、图片来自互联网,一切版权均归源网站或源作者所有。
如果侵犯了你的权益请来信告知删除。邮箱:xxxxxxx@qq.com
上一篇:吃什么药会导致牙齿腐蚀
下一篇:吃什么药会导致牙齿坏掉