口腔结石怎么来的_口腔结石怎么来的
*** 次数:1999998 已用完,请联系开发者***

牙结石怎么处理?这3个口腔养护秘籍有效嘿,你有没有过这样的尴尬时刻:和别人近距离交谈,对方却不自觉地把目光聚焦在你那一口似乎不太干净的牙齿上,而罪魁祸首很可能就是那讨人厌的牙结石!这牙结石啊,可真是个让人头疼的玩意儿,不仅影响美观,还可能对口腔健康造成诸多危害呢。那么牙结石到底该怎么处理呢?别急,下面...

牙结石怎么去除?这3个口腔养护秘籍有效你是否曾对着镜子张开嘴,看着那牙缝里或牙龈边缘隐隐约约的牙结石而发愁?想着怎么才能把这些顽固的“小石子”给清理干净呢?别愁,今天就给大家揭秘3个超有效的口腔养护秘籍,让你轻松和牙结石说拜拜! 秘籍一:洗牙可不只是“洗”那么简单 很多人一听洗牙,就觉得是把牙齿洗白,...

口腔有牙结石能用手抠掉吗?奉劝你手下留情包括口腔内长期寄存的细菌,还有口腔的酸浓度,导致无法通过普通的方式去掉牙结石。 在相关的调查上发现,从最快形成牙结石的时间上,或许只需要两天的时间,也就是48小时。在最初形成的牙结石上,很可能只是软垢,久而久之,会变得越来越硬,面对这种情况应该怎么办? 出现牙结石,用手...

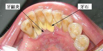
重视牙结石危害!赶紧自查口腔健康状况!牙结石表面附着的细菌还会释放毒力因子,刺激机体发生免疫反应,这牙龈能不出问题吗?可别以为它就是个无关痛痒的存在啦。 并非只有不刷牙才会有牙结石!” 有些人可能会想,我每天都有刷牙呀,怎么还会有牙结石呢?嘿,这您就不知道了吧。虽说不良口腔卫生习惯,比如不定期刷牙、漱...

天呐!牙结石竟在悄悄影响你的口腔健康!说一男子年纪轻轻嘴里就长满了结石,明明每天也正常刷牙呀,可还是没能逃过牙结石的“毒手”。这不禁让人想问,咱们平时自认为做得还不错的口腔护理,真的够吗?牙结石到底是咋在咱们嘴里“作威作福”的呢? 刷牙勤不一定能躲开牙结石! 你可能觉得,我每天都好好刷牙了呀,怎么还会...

˙▽˙ 牙结石咋处理?这3个口腔养护秘籍有效嘿,你有没有对着镜子张大嘴巴,突然发现牙齿根部有些黄黄的、硬硬的东西,用牙刷怎么刷都刷不掉?对啦,那就是牙结石呀!有个小伙伴因为牙结... 要想好好处理牙结石,把口腔养护好,就得把这三个秘籍都用上哦。 总之呢,牙结石虽然讨厌,但只要我们掌握了正确的处理方法,就能让口腔保持...

牙缝里的牙结石,怎么清除干净?医生:教你3个方法,轻松除牙垢尤其牙缝间的牙结石,普通刷牙难以清除,时间久了甚至会撑大牙缝,形成尴尬的“黑三角”。今天,我们就来聊聊如何科学“剿灭”这些顽固的牙垢。一、牙结石是怎么“扎根”牙缝的? 牙结石的形成堪称一场“细菌的阴谋”。当我们吃完东西后,食物残渣会与口腔内的细菌结合,形成透明...

牙缝里的牙结石,如何清除干净?3个办法是不少人的选择在口腔健康的隐秘角落里,牙结石如同顽固的“小石头”,悄悄在牙缝间扎根生长。它们不仅影响美观,更是口腔疾病的“导火索”。想象一下,这些牙结石就像是牙齿上的“锈迹”,日复一日地侵蚀着我们的口腔健康。那么,如何将这些恼人的牙结石清除干净呢?今天,我们就来聊聊这个话题...

牙齿上附着不少牙结石,还伴随口臭,怎么解决?四个办法用起来许多人可能都有过这样的经历:早上醒来,嘴里有一股奇怪的味道,或者时不时感觉口气不清新,尤其是吃过辛辣食物后,甚至有些人发现自己的牙齿上有一层硬硬的东西。这很可能就是牙结石,伴随着它的还有令人不悦的口臭。那么,对于牙结石与口腔异味的问题,应该如何应对呢?下面将给大...
╯▽╰ 
牙缝里的牙结石,怎么清除干净?医生:教你3个方法,除牙垢如果把牙齿比作一排精致的瓷器,牙结石就是藏在缝隙中的“顽固茶渍”。它们由食物残渣、细菌和唾液矿物质沉积而成,不仅影响美观,还会引发牙龈出血、口臭,甚至导致牙齿松动脱落。本文将揭示牙结石的“藏身术”,并传授3个科学清除方法。牙结石:口腔健康的“隐形杀手”牙结石...

飞飞加速器部分文章、数据、图片来自互联网,一切版权均归源网站或源作者所有。
如果侵犯了你的权益请来信告知删除。邮箱:xxxxxxx@qq.com
上一篇:口腔结石怎么来的
下一篇:口腔结石怎么治疗效果最好