右肺上结节是癌吗_右肺上结节是癌吗
*** 次数:1999998 已用完,请联系开发者***
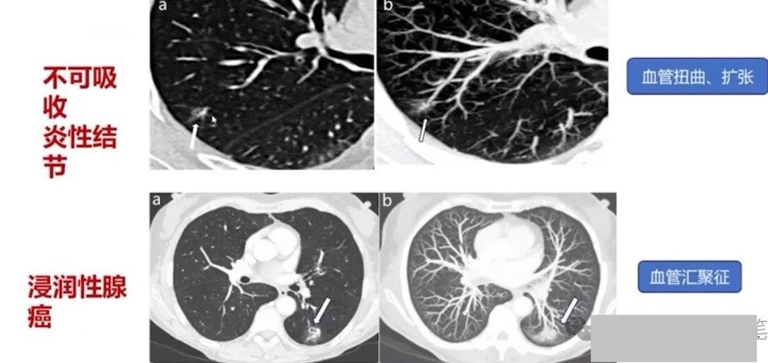
为何不吸烟女性发病率越来越高?磨玻璃结节是什么?关注肺癌防治他被确诊为右肺小细胞癌晚期。据了解,患者确诊前,家人以为只是普通感冒。重庆市璧山区中医院肿瘤科主任莫浩:肺部的肿瘤,症状是以咳嗽为... 胸外一科主任医师马少华:所谓的磨玻璃结节是影像学诊断名词,肺癌是个病理学诊断名词,它完全是两回事,2毫米以上的结节都能在CT上发现,实...

东营市中医院联合手术“一站式”解决两大难题发现其左肺上叶尖后段结节和右肺上叶结节,不排除肺癌,需要进行手术治疗。胸心外科与妇科专家紧急召集相关科室举行多学科会诊。按照常规治疗方法,患者需要分别进行腹腔镜子宫及附件切除术和胸腔镜下右肺上叶切除、左肺上叶尖后段切除两次手术。但二次麻醉、住院、转科、术...
╯0╰
潍坊市第二人民医院:AI助力精准手术,为每位患者量身定制顺利地切除了结节,不再担惊受怕了。”在发现肺结节1个月后,李女士被王述波主任手术团队接诊。团队进行评估发现,该患者CT提示右肺上叶... 食管癌二切口、三切口,二、三野淋巴清扫等一系列高难度手术,居国内领先水平。 由胸外科领衔的肿瘤综合治疗会诊制度,涉及胸外、呼吸、肿...
≥0≤ ![]()
10岁女孩,确诊肺癌!让医生发现了她右肺下叶有一纯磨玻璃结节,医生给出的诊断结果也是良性结节、炎症。 圆圆的父母对这个所谓的“结节”很重视,... 微浸润腺癌大小约0.7厘米,紧邻胸膜。”因为是早期的微浸润性腺癌,术后无需放化疗。术后3天,圆圆顺利出院。之后,她只需定期复查即可...

年轻女孩干咳一周确诊肺癌!再三提醒:出现这4个症状一定要小心胸部CT的检查结果是:右肺上叶有个接近5厘米的肺结节。而且,医生判断这个结节很可能不是单纯的“肺结节”,大概率是肺部恶性肿瘤。赶紧... 复查中结节有增大或实性成分增多,最好通过相关诊治手段协助明确或者手术切除出现这4个症状,一定要小心肺癌肺癌仍是我国第一大癌。说到...
![]()
飞飞加速器部分文章、数据、图片来自互联网,一切版权均归源网站或源作者所有。
如果侵犯了你的权益请来信告知删除。邮箱:xxxxxxx@qq.com