胼胝体怎么看正常_胼胝体怎么看正常
*** 次数:1999998 已用完,请联系开发者***

从双重意识到自我整合:胼胝体研究挑战传统认知这种行为是“正常的”,只是偶尔会感到困惑,或是意识到某种不协调感,却无法明确指出原因。例如,当研究人员问起这些患者为何会做出如此反... 但这种整合是如何实现的?它是否完全依赖于胼胝体的联结?还是存在更深层次的机制,使得不同意识之间可以在断裂后依然保持某种程度的协调...

养儿子别在小事纠缠!3个“抓大放小”秘诀养出阳光自信男子汉"说了多少遍,铅笔别咬在嘴里!""衣服领子又没翻好!"据统计,中国妈妈平均每天要对儿子说87次"不要"!教育专家李玫瑾一针见血:总在小事上较真,正在毁掉男孩的自信. 1. "脏点乱点没关系"——男孩大脑需要"混乱自由" 剑桥大学研究显示,男孩大脑中胼胝体比女孩少25%,这决定了他们: 更难...
●^● 
“胼手胝足”的“胼”怎么读?是什么意思?它怎么读?又是什么意思呢?下面我们一起来了解和学习: 一、“胼”字怎么读? “胼”字读音为“pián”,同音字为“㛹”,部首为“月”,总笔画10,左右结构。 二、“胼”字基本解释: ⑴〔胼胝〕手上脚上因为劳动或运动被摩擦变硬了的皮肤。 ⑵〔胼胝体〕大脑两半球的底部联合大脑两...
ˇ﹏ˇ 
⊙▂⊙ 养娃“冰火两重天”:男孩女孩养育秘籍人们常说,养娃如同一场修行。然而,唯有那些同时养育过男孩与女孩的父母,方能真切体会其中“冰火两重天”的滋味。 或许前一秒,儿子还在沙发上“肆意起飞”,而女儿却能安安静静地为娃娃换一小时衣服。 一、科学证明:男孩女孩,天生不同 1. 大脑结构差异: 男孩的胼胝体,也就是连接...
╯0╰ 
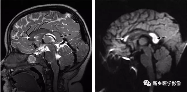
连续酗酒+熬夜 男子出现意识模糊!这些症状千万要警惕确诊为可逆性胼胝体压部综合征。 △董先生的影像结果显示胼胝体压部发生病变(图源:南方科技大学医院) 啥是胼胝体压部综合征? 如果把大脑比作一座城市,胼胝体就是连接左右脑的“跨海大桥”,而胼胝体压部正是桥上的“核心枢纽”。当它因酒精、熬夜或感染...

飞飞加速器部分文章、数据、图片来自互联网,一切版权均归源网站或源作者所有。
如果侵犯了你的权益请来信告知删除。邮箱:xxxxxxx@qq.com